予防歯科
予防歯科とは、定期検診、PMTC、フッ素塗布、ブラッシング指導などを主とした歯の病気を予防するための治療です。以下にその詳細をご紹介していますので、どうぞご参照ください。治療が終わって理想的な口腔環境を獲得しても管理がおろそかになると良好な状態をキープできません。
担当制歯科衛生士の継続メンテナンス
当サイトを監修する「フジハシ歯科医院」では、患者様一人ひとりに対し、歯科衛生士が固定で一人つく、といった担当制を導入しています。また歯科衛生士が患者様の予防歯科カリキュラムも組んでメンテナンスをしていくので、担当する患者様の状態を深く理解することができるため、最適なケアができるのです。
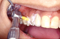
歯科衛生士によるPMTC
(プロフェッショナル・メカニカル・トゥース・クリーニング)
口腔内の健康獲得とその維持のために行うクリーニングをPMTCといいます。普段のブラッシング状況なども考慮し、その方に合ったクリーニングを行います。磨き残しがあるとお口の中の細菌は、プラーク(歯垢)の固まりと、バイオフィルム(膜)でぬめりなどを作ってしまいます。そのぬめりはご自宅でのブラッシングだけでは除去できません。そこで歯科衛生士の施術によってみがき残しをなくし歯の表面を研磨することにより、バイオフィルムが再付着しにくい環境に整えます。
フッ素塗布
歯の表面にフッ素を塗布することで虫歯になりにくくなります。人間の歯の表面はエナメル質(ハイドロキシアパタイト)という半透明な硬い組織でおおわれていますが、虫歯になると溶けてしまうのです。フッ素を歯の表面に塗布することで、エナメル質をフルオロアパタイトという溶けにくい物質に変えることが可能になります。
ブラッシング
虫歯・歯周病予防で大切なことはプラークコントロールです。プラーク(歯垢)とは細菌の固まりのことですが、それをなくす鍵となるのがブラッシングです。ブラッシングは毎日行いましょう。重要性への理解を深めることが大事です。歯並びや生活習慣は個人によって異なります。一人一人に合ったみがき方を身につけていただき、大切な歯を守り、お口の健康を維持してゆきましょう。
歯を失ってしまったら
歯を失ったときの選択肢としては「インプラント」「義歯」「ブリッジ」の治療があります。患者様の口腔内の状態に応じて、患者様と話し合い治療方法を選定します。以下に各治療法のメリット、デメリットを挙げていますので、治療を受ける際の参考にしてください。
インプラント
メリット
・審美性が高く、天然歯に近い歯を手に入れることができる
・健康な歯を一切削る必要がない
・天然歯と同じ感覚で噛むことができ、食べ物の食感を楽しめる
デメリット
・外科手術と同じ程度の手術が必要
・健全身疾患のある場合や重度の糖尿病の場合には、治療ができないことがある
・には、治療ができないことがある
ブリッジ
メリット
・健康な歯と変わらないくらい見た目がキレイ
・固定式のため、装着しても違和感があまりない
デメリット
・ブリッジを固定するために健康な歯を削る必要がある
・治療する隣の歯に負担をかける
・ケアに手間がかかる
義歯(入れ歯)
メリット
・誰でも簡単に治療を受けることができる
・健康な歯を削る必要がない
デメリット
・違和感や痛みが生じる場合がある
・固い食べ物は噛みにくい場合がある
・発音に問題が生じる場合がある
・出し入れ式なのでわずらわしい
・金具などが見えたりするので審美的ではない
・隣の歯に負担がかかる
・顎の骨が痩せることがある
インプラント
当院で使用しているインプラント
当院では、ノーベルバイオケア社のブローネマルクシステムを早期より採用することにより、数多くの信頼と実績を積み重ねております。また、インプラントに関する無料相談を行っていますので、ご気軽にご相談ください。
インプラント治療の流れ
1.診査・カウンセリング
患者様の普段の生活での口腔衛生管理などを含め、模型やレントゲン、場合によってはCTなどで充分に診査します。また以下の状態によって治療方法は変わってくるので、総合的に検討した上で治療計画を立てて患者様に説明いたします。
・失った歯の数
・インプラントを埋め込む骨の厚みや高さ
・歯を抜く予定の歯根の状態
・残存歯の状態や噛み合わせ
2.一次手術
歯のない部分の歯肉を切開し、顎(あご)の骨にインプラントを埋入します。そして歯肉を上から被せていく手術です。手術時間は本数や部位により個人差があります。手術の翌日には通常の生活が可能です。
3.治療期間
手術後、近日中に手術部位の確認と消毒を行います。前歯など目立つ部位は、この段階で仮歯を入れる場合もあります。患者様の状態により異なりますが、手術後一週間後くらいには、手術をした部位全部の抜糸をして仮歯を入れます。その後3~6ヶ月間ほどインプラントと顎の骨が完全に結合するのを待ちます。
4.二次手術
埋入したインプラントの先端部分を露出させ、人工歯と連結させるためのアバットメント(歯冠部)を取り付けます。
5.人工の歯を作製・装着
人工歯を被せるために必要なアバットメント(歯冠部)を連結し、人工歯を作製します。形や色など患者様の今ある歯の形や色に合わせて作製し、人工歯をインプラントに装着して固定します。
6.インプラント治療が終わったら…
人工歯を被せても、インプラント治療は終了ではありません。医師の指導に従い、インプラントを長持ちさせるためのメンテナンスをすぐに開始します。また、定期健診で噛み合わせのチェック、骨の検査、被せた人工歯の緩みなどの検査を行います。ご自身でお口の中を清潔に保つこと(プラークコントロール)も大切です。
7.ノーベルガイドシステム
上記2~5までは一般的な治療の流れですが、より利便性の高い方法が開発されました。 CT画像をコンピュータ処理する事により、予め顎の骨を三次元で的に解析して上部構造を製作する事により、手術当日にインプラント義歯を装着する事も可能になりました。
義歯・入れ歯
義歯の種類
部分入れ歯
部分入れ歯を装着するには、健康な歯の保全が必要になります。また装着には入れ歯のメンテナンスが大切です。保険が適用できます。
総入れ歯
現在の総入れ歯は大変精巧なものになっていて、しっかり噛めて話しやすくなります。保険が適用できます。
レジン床入れ歯
歯茎に当たる部分がプラスチックで作られた入れ歯です。プラスチックなので、落とすと割れてしまうことがあります。保険が適用できます。
金属床入れ歯
歯茎に当たる部分が金属でできている入れ歯です。使用する金属は、ゴールド、コバルトの中から選定できます。通常のプラスチックの入れ歯より薄くできているため違和感なく熱を伝え、美味しく食べることができます。
バルプラストデンチャー
材質が半透明で歯茎の色調と同化するので、入れ歯が入っているようには見えません。また、金属アレルギーを引き起こす心配もなく、破折に強い弾力性がある素材のため、お口の中が快適です。
コーヌスデンチャー
クラスプ(入れ歯をおさえる金属)がないタイプの入れ歯です。咬合力をうまく分散させ、支台歯(クラスプのかかる歯)を長く使えるように考えられた入れ歯です。
シリコン
シリコン入れ歯とは、義歯床の一部がシリコンで作られている入れ歯のことです。シリコンはやわらかいので、入れ歯が歯茎に当たって痛いということがなく、口腔内での違和感がありません。
チタン
チタンは安定した皮膜におおわれていて金属イオンが溶け出さないので、生体親和性に優れています。金属アレルギーの心配もなく、金属味がほとんどないので、味覚に変化が起こらず食事を楽しめます。
歯周病
歯周病とは?
歯周病は、歯科の二大疾患の1つで日本人に多い病気です。現在20代の約7割、30代の約8割が歯周病にかかっているといわれています。歯周病になると歯茎が腫れ、簡単なブラッシングなどでも出血してしまいます。治療せずに放置しておくと次第に歯茎が痩せ、最終的には歯が抜け落ちてしまう病気です。原因は喫煙や食生活、ブラッシング不足などさまざまです。ひどくなった後に一生懸命治療しても手遅れになりますので、早めに治療しましょう。
歯周病になると・・・
歯周病の進行は非常に遅いため、気がつかないうちに進行していきます。多くの人は歯が動いてしまうのを感じた段階で、初めて症状を自覚します。
さらに歯周病は口腔内だけでなく、全身にも影響を及ぼすことが最近わかってきました。歯周病菌そのものが強い病原性を持っているわけではありませんが、歯周炎を起こした歯茎から歯周病菌が血液に入ってしまうと、全身疾患の原因にもなります。心臓・血管系疾患、細菌性心内膜炎、糖尿病などのさまざまな恐い病気を引き起こしてしまう可能性があるのです。

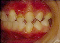
症例
Before → After

口腔ケア・メンテナンス
虫歯同様、歯周病にならないためには、毎日のプラークコントロールが大切です。ブラッシングのときに歯茎が出血したら、すぐに歯科医院に行きましょう。医師による指導を受けることによって進行を防ぐことができますので、早めの治療をお勧めします。 当院では歯周病予防のために衛生士による継続的なメンテナンスを実施しております。プロケアーとセルフケアーを安定させることが歯周病で歯を失わないための一番重要な方法です。
大切な歯を守るため全力でサポートをしますので一緒にがんばりましょう。
審美歯科
審美歯科の概念
審美歯科とは一般的な歯科治療に加え、見た目の美しさを求めた治療です。しかしただ美しくなれば良いという治療ではなく、口腔内本来の機能を優先しながら、より美しく自然に見せる治療なのです。審美治療にはオールセラミック、ラミネートベニア、セラミックインレー、ホワイトニングなどが主に治療に取り入れられています。以下にその詳細をご紹介していますので、どうぞご参照ください。
オールセラミックス
単体のセラミック(陶材)製の被せもののことです。これは歯を約1~1.5mmほど削り、その上にセラミックを被せる治療で、歯並びだけでなく見た目も美しく変えます。短期間で美しい口元に変えたいという方に適した治療法です。また使用するセラミックは天然歯と同じくらいか、それ以上の強度がある陶材なので、金属アレルギーを引き起こす心配がありません。変色もなく透明感があります。
ラミネートベニア
歯の表面だけを薄く削り、セラミックを貼り付けて審美的修復を行う治療法です。歯の色、形、詰め物の変色などの問題を、よりダメージの少ない方法で解決できます。セラミックのみの修復なので歯茎との境目や歯の色、透明度はより天然歯に近く、自然な仕上がりです。
セラミックインレー
虫歯を削ったところにセラミックを詰める方法です。「セラミック」と「ハイブリットセラミック」の2種類があります。前歯だけでなく、奥歯においても白く美しい歯を望まれる方にお勧めです。治療は虫歯を削って型を採り、次回にセットするという2回で終わる簡単な処置です。
ホワイトニング
お茶やコーヒー、タバコなどによる変色した歯を白い歯にする(漂白)治療法です。ホワイトニングには「オフィス・ホワイトニング」と「ホーム・ホワイトニング」があり、「オフィス・ホワイトニング」は歯科衛生士が専用機材を用いて施術する方法です。それとは逆に「ホーム・ホワイトニング」はご自宅で好きな時間に行える方法です。「ホーム・ホワイトニング」は歯科医院で歯の型を採って、その型をもとに専用のカスタムトレーを作製し、カスタムトレーとホワイトニング剤を使用します。――ホワイトニング以外でも毎日のブラッシングを怠ってしまうと変色してしまいますので、ちゃんとブラッシングをしましょう。

